Introduction
Supracondylar Fracture of the Humerus is a common elbow injury, especially in children. It occurs just above the elbow joint and can remarkably affect arm function if not managed properly.Early diagnosis and timely physiotherapy are crucial for optimal recovery.
Mechanism of Injury
- Most commonly caused by a fall on an outstretched hand
- Direct trauma to the elbow region
- Frequently seen during playground accidents or sports injuries
- Hyperextension of the elbow is the typical injury mechanism
Signs and Symptoms
- Severe pain and swelling around the elbow
- Restricted or painful elbow movement
- Visible deformity of the arm
- Bruising around the elbow
- Possible numbness or tingling due to nerve involvement
Classification
Undisplaced Fracture
- Fracture without displacement
- Intact posterior cortex
- Usually stable and treated conservatively
Displaced Fracture with Intact Posterior Cortex
- Partial displacement with angulation
- Posterior cortex remains intact
- Moderate instability
Completely Displaced Fracture
- Complete displacement with no cortical contact
- Highly unstable fracture
- Often associated with neurovascular injury
Multidirectionally Unstable Fracture
- Complete displacement with instability in both flexion and extension
- Caused by periosteal disruption
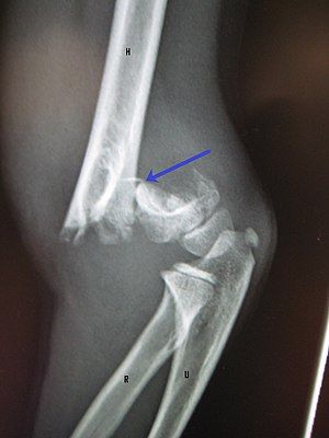
Investigation
- X-ray of the elbow (anteroposterior and lateral views)
- Assessment of bone alignment and fracture displacement
- Neurovascular examination to check nerve and blood vessel integrity

Physiotherapy Management
- Immobilization Phase:
- Pain and swelling control using ice therapy
- Gentle finger, wrist, and shoulder movements
- Post-Immobilization Phase:
- Gradual passive and active range-of-motion exercises
- Strengthening of the elbow and forearm muscles
- Functional training for daily activities
- Rehabilitation Phase:
- Proprioceptive and coordination exercises
- Return-to-activity guidance
Complications
- Elbow stiffness
- Malunion or deformity (cubitus varus)
- Nerve injury (median or radial nerve)
- Vascular compromise
- Delayed functional recovery
Conclusion
Supracondylar fracture of the humerus is a serious injury requiring prompt medical and physiotherapy intervention. Proper rehabilitation helps restore elbow mobility, strength, and function while minimizing complications. Early physiotherapy plays a vital role in achieving a full and safe recovery.
Q1. What are the common causes of fractures of the radius and ulna?
A. It commonly occurs due to a fall on an outstretched hand, twisting forces, direct trauma, road traffic accidents, sports injuries, or high-energy impacts.
Q2. What are the typical signs and symptoms of radius and ulna fractures?
A. Severe forearm pain, swelling, deformity, restricted wrist and elbow movement, painful forearm rotation, and sometimes numbness or reduced circulation.
Q3. What is the role of physiotherapy in managing radius and ulna fractures?
A. Physiotherapy helps restore movement, strength, and forearm rotation through early exercises of free joints, post-immobilization active movements, and gradual strengthening.

