Introduction
Posterior Shoulder Dislocation is a relatively rare but often overlooked injury, accounting for a small percentage of shoulder dislocations. Due to subtle clinical signs and atypical presentation, delayed diagnosis is common. Early recognition and appropriate rehabilitation are essential to restore shoulder stability and function.
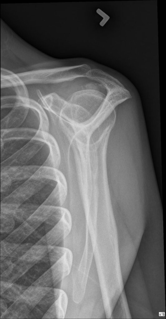
Definition
Posterior dislocation of the shoulder occurs when the head of the humerus is displaced backward out of the glenoid fossa. This displacement typically results from powerful internal rotation forces and may be associated with soft tissue or bony injuries around the shoulder joint.
Mechanism of Injury
- Direct trauma to the anterior shoulder, such as a blow or fall.
- Road traffic accidents, especially when force is transmitted along the flexed arm.
- Violent muscle contractions, commonly during seizures or electric shocks, cause strong internal rotation and adduction of the arm.
- Sports injuries are particularly common in contact sports or activities involving sudden force.
Clinical Features
- Pain and stiffness in the shoulder are often less dramatic than an anterior dislocation.
- Arm held in adduction and internal rotation
- Limited external rotation and abduction of the shoulder.
- Flattened anterior shoulder with posterior fullness.
- Restricted range of motion, especially during overhead activities.
- Muscle spasm and tenderness around the shoulder region.
Physiotherapy Management
Acute Phase
- Immobilization using a sling to allow healing of soft tissues.
- Pain relief through gentle positioning and cryotherapy.
- Active movements of the wrist, hand, and elbow to prevent stiffness.
Subacute Phase
- Gradual introduction of passive and active-assisted shoulder movements.
- Gentle external rotation exercises within a pain-free range.
- Isometric strengthening of the rotator cuff and scapular stabilizers.
Rehabilitation Phase
- Progressive strengthening using resistance bands or light weights.
- Proprioceptive and neuromuscular control exercises.
- Functional and sport-specific training to restore shoulder stability.
Complications
- Recurrent posterior dislocation
- Chronic shoulder instability
- Restricted shoulder mobility
- Persistent pain and muscle weakness
Conclusion
Posterior shoulder dislocation, though uncommon, requires attentive assessment and a structured rehabilitation approach. Early physiotherapy intervention plays a Significant role in restoring shoulder strength, mobility, and preventing long-term complications.
What is posterior dislocation of the shoulder?
It is a condition where the humeral head is displaced backward out of the glenoid fossa, usually due to strong internal rotation forces.
What are the common clinical features?
Shoulder pain and stiffness, arm held in adduction and internal rotation, limited external rotation, posterior fullness, and restricted shoulder movement.
How is posterior shoulder dislocation managed physiotherapeutically?
Management includes immobilization, pain control, gradual shoulder mobilization, rotator cuff strengthening, proprioceptive training, and functional rehabilitation.

